Our Services
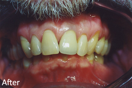
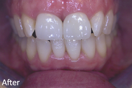
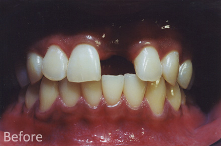
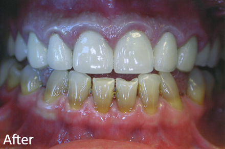
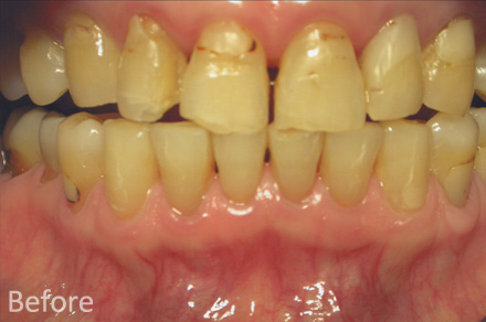
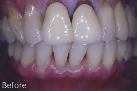
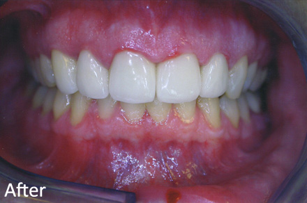
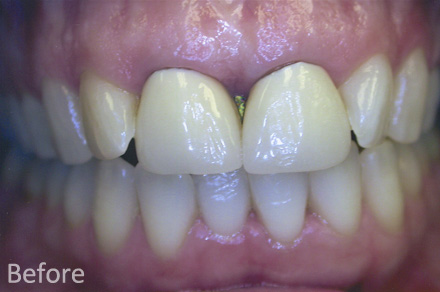
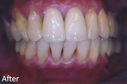
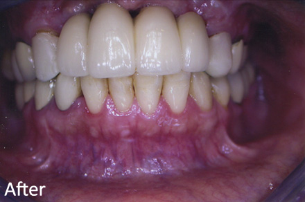
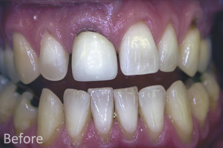
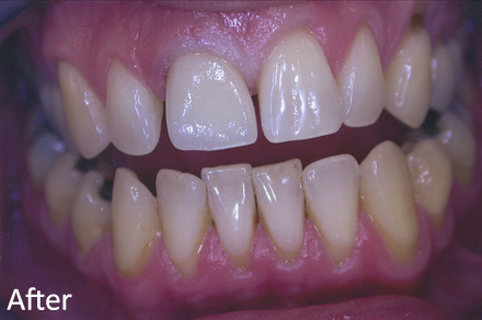
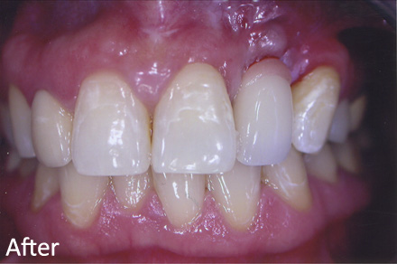
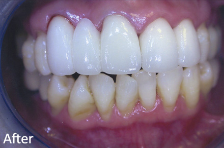
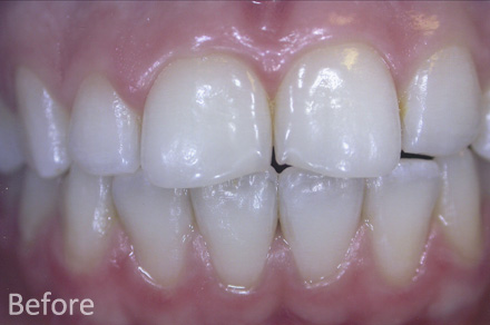
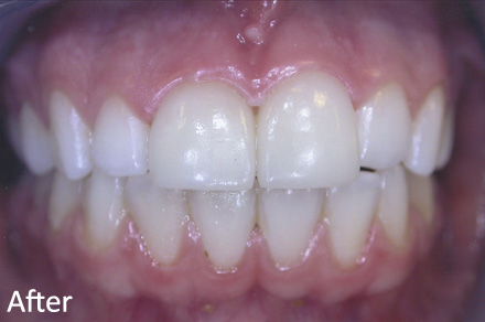
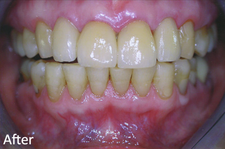
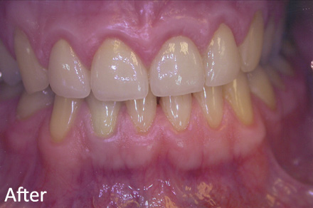
We offer a wide variety of services to fit your dental needs including, but not limited to, the list below. Also, Please check out our before and after images of some of the services we provide and
contact us with any questions.
- Children Dentistry
- Cosmetic Dentistry
- Crowns and Bridges
- Dental Hygiene
- Dental Implants
- Endodontics
- Oral Surgery
- Periodontics
- Preventive Dental Care
- Removable Prosthodontics
- Restorative Care
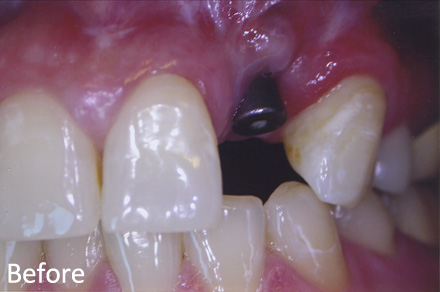
Implants
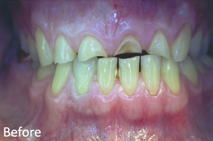
Discolored Teeth
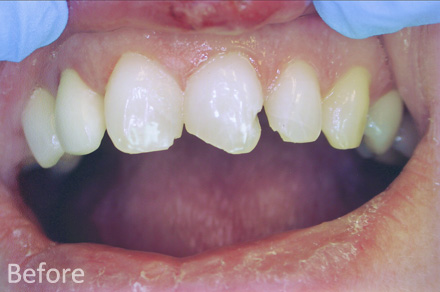
Chipped/Broken Teeth
Attrition/Erosion
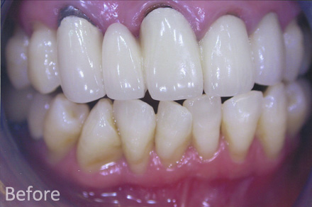
Crowns and Bridges
Old Crowns/Recession